Il sorriso è il mezzo attraverso cui il nostro cuore comunica con il mondo.
Ogni giorno, nel nostro studio, ci prendiamo cura del tuo sorriso.
E quindi di te.
La Passione
Operare quotidianamente con il cuore e la passione: ci crediamo fortemente per raggiungere i risultati richiesti da chi, con fiducia, ci affida il suo sorriso.
E lo facciamo con un sorriso, fin dal desk di accettazione.
Lo Studio
Ogni membro dello staff pone attenzione particolare al controllo dell’igiene e della sterilità, per garantire a tutti i pazienti la sicurezza totale.
Al fine di assicurare la massima igiene, viene rispettato un rigoroso protocollo secondo le linee guida internazionali : ogni strumento viene lavato, disinfettato, imbustato (con data e timbro) e infine sterilizzato con autoclavi di ultima generazione.
Quotidianamente vengono effettuati test biologici del ciclo di sterilizzazione che comprovano il corretto funzionamento delle nostre macchine. Attività svolta nella sala di sterilizzazione e con conseguente raccolta dati in dossier a cui è possibile accedere, su richiesta, per il consulto.
Cosa facciamo
Forniamo un servizio consulenziale altamente specialistico, con attrezzature di ultima generazione, necessarie per svolgere prestazioni di qualità e alla formazione professionale. Ma, prioritario per noi, lo facciamo con una particolare attenzione al comfort psico fisico dei nostri pazienti.
Implantologia
LEGGI DI PIÙ
Agli impianti si ancorano, in modalità fissa, denti singoli, gruppi di denti o un’ arcata intera. Gli impianti inoltre possono fungere da supporto per una protesi mobile parziale o totale, che viene pertanto resa stabile con ottimale funzionalità. Per quest’ultima soluzione sono oggi presenti “mini impianti” che assicurano un risultato perfetto con interventi minimamente invasivi.
E’ importante sapere che l’utilizzo della soluzione implantare permette di conservare integri i denti naturali adiacenti allo spazio da colmare, in quanto l’inserimento di corone dentali sugli impianti, non coinvolge i denti naturali vicini alla lacuna.
Le attuali tecniche implanto-protesiche permettono di posizionare e di protesizzare gli impianti nella medesima seduta consentendo ad un paziente parzialmente o completamente privo di denti di ricevere una protesi fissa in meno di 24 ore (tecnica definita carico immediato). La protesi immediata assolve alle finalità estetiche, di masticazione e fonazione, conferendo al paziente enormi vantaggi funzionali, psicologici e sociali.
Protesi dentali
LEGGI DI PIÙ
PROTESI FISSA
La protesi fissa può essere definita come il presidio protesico che restaura elementi dentali danneggiati ripristinandone la forma, la funzione e l’estetica. Questa soluzione inoltre provvede a proteggere la parte ancora sana del dente da ulteriori lesioni.
Il campo della terapia protesica fissa si estende dalla ricostruzione del dente singolo a più denti fino alla restaurazione della totalità degli elementi dentali. La protesi fissa per definizione non può essere rimossa dal paziente ma può comunque essere agevolmente mantenuta “pulita” dallo stesso. L’evoluzione di tecniche e materiali consente, soprattutto per il settore frontale, di realizzare corone interamente ceramiche, cioè senza struttura metallica di supporto, con un sensibile miglioramento dell’estetica.
Se il restauro protesico ricopre interamente la corona si parla di corona completa altrimenti di corona parziale o intarsio.
PROTESI RIMOVIBILE
La protesi rimovibile è volta a sostituire una parte o l’intera arcata dentaria mancante. Può essere rimossa dal paziente allo scopo di eseguire le ordinarie manovre di igiene quotidiana. La protesi rimovibile può essere:
Parziale: presidio protesico che ripristina la funzionalità di un’arcata dentaria parzialmente mutilata.
Totale: tradizionale riabilitazione della mancanza completa dei denti in una arcata.
Nell’arcata inferiore in presenza di valide e stabili radici residue è possibile ancorare la protesi per aumentarne la ritenzione, migliorare la masticazione e consentire in tal modo al paziente di condurre la sua quotidianità senza temere distacchi indesiderati della protesi.
Chirurgia
LEGGI DI PIÙ
Tecnicamente si tratta di un autoinnesto dove le proteine e i fattori di crescita, liberate dalle piastrine del paziente, vengono utilizzate per avviare ed accelerare i processi riparativi e la rigenerazione dei tessuti.
Le piastrine sono le cellule del sangue che contengono e liberano le proteine necessarie al processo di riparazione dei tessuti lesi e che fanno partire i processi per la guarigione dei tessuti.
L’applicazione di questa tecnica, dal punto di vista del paziente è molto semplice: viene effettuato un piccolo prelievo di sangue che, opportunamente trattato, permette di acquisire le piastrine e concentrarle insieme alla fibrina del plasma, ottenendo così un gel autologo, cioè, proprio del paziente.
La ricerca ha permesso di evidenziare come, applicando questo gel nella zona da curare, venga aumentata la naturale capacità di riparazione dell’organismo per ottenere una guarigione più rapida e con minor dolore. Potenziando la naturale capacità dell’organismo di rigenerare i tessuti, il PRGF® consente anche di diminuire le possibilità d’infezioni e complicanze post-operatorie.
Il PRGF® ha dimostrato un’efficacia straordinaria in odontoiatria ma anche in vari campi della medicina (vascolare, dermatologia, chirurgia ortopedica, chirurgia cardiaca, chirurgia plastica e ricostruttiva).
In particolare in ambito odontoiatrico è dimostrato come possa:
• Accelerare la guarigione delle ferite chirurgiche.
• Diminuire l’infiammazione ed il dolore post-operatorio.
• Ridurre il rischio di complicanze.
• Favorire la rigenerazione dell’osso nell’alveolo dopo l’estrazione di un dente.
• Favorire la rigenerazione dell’osso nei difetti ossei.
• Favorire la rigenerazione dell’osso dopo l’asportazione di cisti dell’osso mascellare e della mandibola.
• Favorire e accelerare la rigenerazione dell’osso attorno agli impianti.
Restaurativa
LEGGI DI PIÙ
CONSERVATIVA – La conservativa è quella branca dell’odontoiatria che si occupa principalmente della cura della carie dentale, cercando attraverso varie soluzioni (otturazioni dirette o indirette: intarsi e faccette), di conservare la struttura dentale residua e restaurare la componente mancante, al fine di conferire protezione, efficacia e longevità al dente stesso.
I materiali che vengono utilizzati a tal scopo sono: i compositi per le otturazioni realizzate direttamente nel cavo orale del paziente dall’odontoiatra e la ceramica ed i compositi per le ricostruzioni indirette, intarsi e faccette, realizzate dall’odontotecnico fuori dal cavo orale del paziente e cementate in un secondo momento. Gli intarsi e le faccette sono da preferire quando la parte del dente mancante, quindi da ricostruire, è molto grande. Questo perché sono in grado di ristabilire la forma del dente gravemente danneggiato conferendogli funzione ed estetica, ristabilendo la naturale robustezza del dente stesso offrendo al tempo stesso maggior protezione.
ENDODONZIA – L’endodonzia è quella branca dell’odontoiatria che si occupa della terapia dell’endodonto, ovvero lo spazio all’interno dell’elemento dentario che contiene la polpa dentaria, costituita da componente cellulare, vasi e nervi. Si ricorre alla terapia endodontica qualora una lesione cariosa o traumatica abbia determinato un’alterazione irreversibile del tessuto pulpare.
Pedodonzia
LEGGI DI PIÙ
Dentatura decuidua
I denti decidui sono 20, disposti in numero di 5 per ogni semiarcata.
Ogni cinquina è composta da:
• Incisivo centrale
• Incisivo laterale
• Canino
• Primo molare
• Secondo molare
L’eruzione dei denti decidui avviene dai 4-6 mesi fino ai 2 anni. Entro il primo anno il gruppo incisale dovrebbe essere erotto.
Dai 12 ai 16 mesi erompono i primi molari, prima gli inferiori e poi i superiori. Dai 16 ai 20 mesi erompono i canini, prima gli inferiori e poi i superiori. Infine, dai 20 ai 30 mesi di vita del bambino, erompono i secondi molari. Nel corso della permuta dentale, il gruppo frontale deciduo viene sostituito con il gruppo frontale permanente, i molari decidui lasciano il posto ai premolari permanenti e, nello spazio che si verrà a creare con lo sviluppo della mandibola, eromperanno i molari permanenti.
Dentatura permanente
La dentatura permanente per ciascuna semiarcata si compone di:
• Incisivo centrale
• Incisivo laterale
• Canino
• Primo premolare
• Secondo premolare
• Primo molare
• Secondo molare
• Terzo molare
Ortodonzia
LEGGI DI PIÙ
Si occupa inoltre dei rapporti fra l’osso mascellare e la mandibola trattando le malocclusioni e le malposizioni di denti e ossa, provvedendo alla loro correzione con opportune apparecchiature fisse o rimovibili. Tale correzione viene proposta non solo per motivi estetici ma anche per motivazioni di carattere funzionale.
Ad esempio una mal posizione dentale può essere la causa dell’insorgenza di carie o di problemi parodontali in quanto denti accavallati tra loro, inclinati e/o ruotati non permettono una corretta igiene o quanto meno la rendono più difficoltosa. Analogamente una malocclusione che condiziona una dinamica non fisiologica può favorire l’insorgenza di problemi all’articolazione temporo-mandibolare fino a scatenare forti emicranie. Un trattamento ortodontico può essere indicato se si deve ricreare un corretto spazio per il successivo inserimento di denti sostitutivi e/o impianti. L’obiettivo di ogni terapia ortodontica è quello di riportare l’apparato stomatognatico in armonia ed equilibrio , ovviamente ripristinando un corretto sorriso. Per raggiungere tale risultato la pratica ortodontica consiste sostanzialmente in due tipi di terapia che molto spesso sono consequenziali.
- Terapia chirurgica: si attua estraendo quei denti che ostacolano l’allineamento e l’articolazione degli altri o la corretta posizione dento-facciale.
- Terapia meccanica: si attua mediante la costruzione di diversi tipi di apparecchi suddivisi in:
APPARECCHI ATTIVI: mobili, agiscono direttamente con la loro forza quando viene attivata (es. apparecchi con viti, archi, molle ecc.)
APPARECCHI PASSIVI: fissi, sfruttano le forze esercitate da archi metallici elastici.
INVISALIGNE: apparecchiatura di nuova generazione che pur essendo rimovibile dal paziente svolge una funzione assai simile a quella fissa tradizionale con l’enorme vantaggio di essere praticamente invisibile.
Igiene dentale
LEGGI DI PIÙ
Queste manovre sono suddivisibili in igiene domiciliare e professionale.
Una buona IGIENE ORALE DOMICILIARE è garantita da un corretto utilizzo dello spazzolino manuale o meglio ancora elettrico. Ulteriore presidio fondamentale è il filo interdentale. Infine risulta di fondamentale importanza la detersione della superficie linguale con lo spazzolino.
I risultati migliori si ottengono con gli spazzolini elettrici che riescono a detergere più efficacemente le superfici dentali e il dorso linguale.
Con IGIENE ORALE PROFESSIONALE si intendono quelle manovre praticate dall’igienista dentale al fine di eliminare tutti i residui, molli e duri, accumulatisi nel tempo. Le manovre più semplici da praticare ogni 6-12 mesi sono : l’ablazione tartaro e la lucidatura delle superfici dentarie mediante pasta da profilassi.
Sbiancamento
LEGGI DI PIÙ
Si realizza per mezzo di gel a base di perossido di carbamide o perossido di idrogeno, professionale e/o domiciliare, eventualmente attivato con mezzi fisici (luce UV, luce alogena al plasma o luce laser).
Questa terapia cosmetica non indebolisce la struttura dentale e non è assolutamente invasiva.
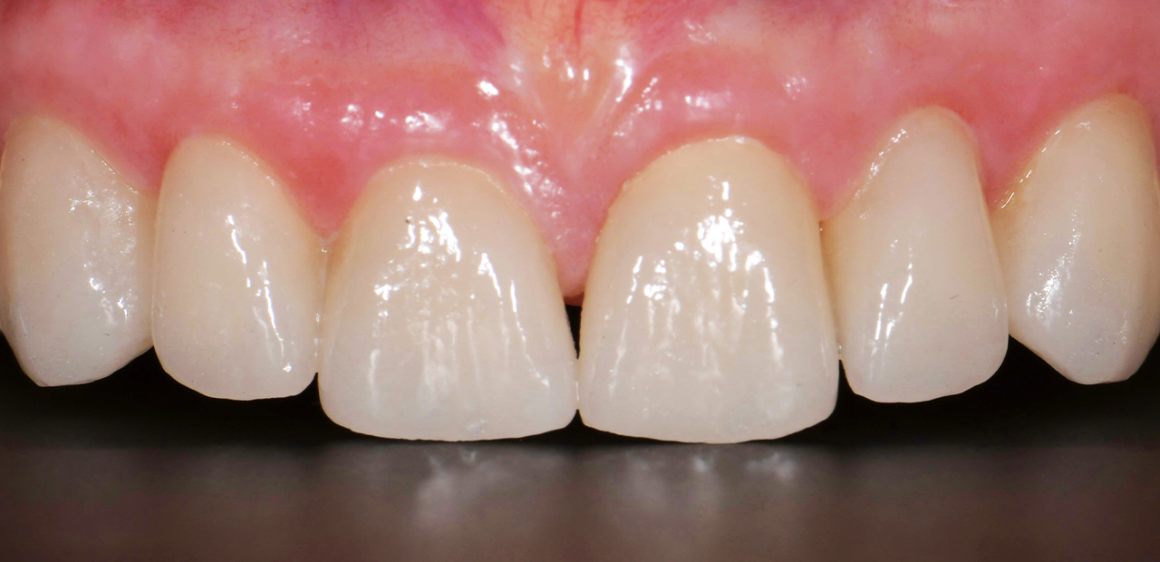
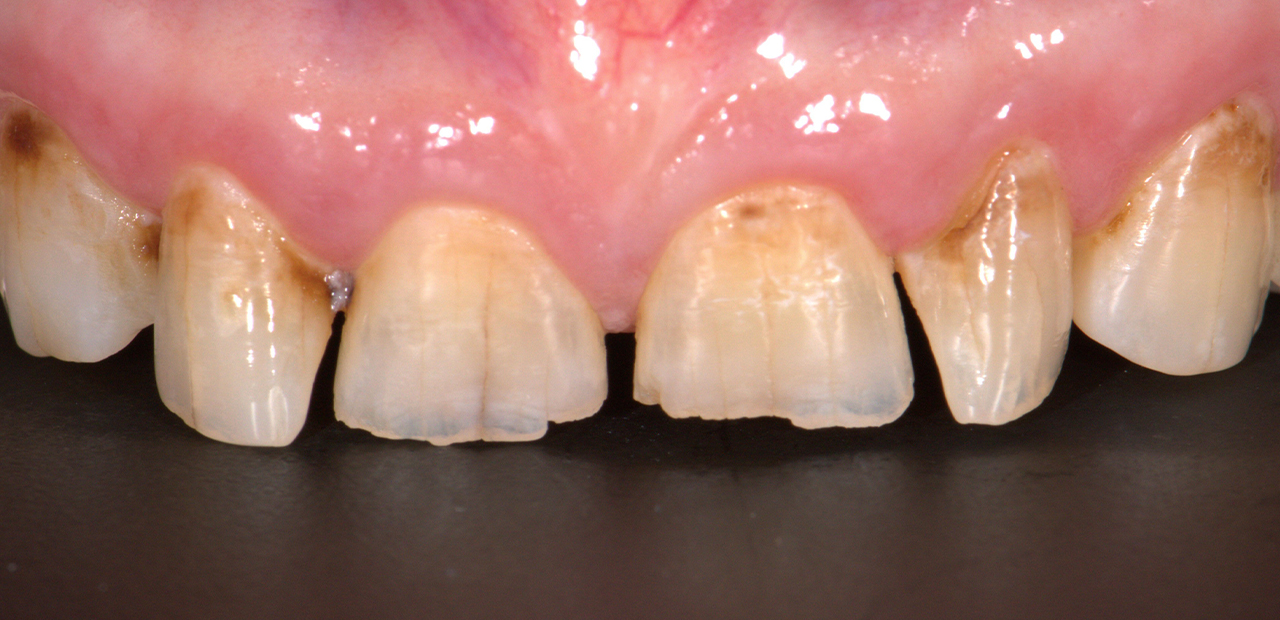
Estetica dentale
LEGGI DI PIÙ
ESTETICA DEI TESSUTI DENTALI
Oggi l’estetica del viso e del sorriso hanno sempre una maggior importanza psicologica e sociale. Fondamentale risulta quindi avere e garantire al pazienze un’ottima estetica dentale e di conseguenza dell’intero sorriso. Molti sono i parametri da prendere in considerazione per offrire un sorriso armonico e naturale. Per far fronte a queste sempre maggiori richieste estetiche possiamo avvalerci di diverse tecniche: tecniche dirette ed indirette. Quelle dirette, consistenti nell’aggiunta di resine composite direttamente sugli elementi dentali prendono il nome di restauri additivi, in aggiunta cioè all’elemento dentale stesso, senza la minima preparazione del dente in questione. Sono dunque restauri totalmente conservativi, e terapie minimamente invasive. Le tecniche indirette invece, sono quelle più frequentemente utilizzate, che ci permettono di correggere gli inestetismi più importanti, soprattutto degli elementi dentali anteriori; questi sono: fratture, anomalie di forma e dimensione, difetti di posizione (ad esempio un eccessivo spazio fra i denti), difetti di inclinazione o alterazioni di colore. Le tecniche indirette consistono nell’applicazione di faccette in ceramica (restauri protesici fissi, parziali) o corone totali in ceramica integrale.
In entrambi i casi, come detto, lo scopo è quello di ripristinare l’estetica dei denti frontali, ma i vantaggi maggiori, quando possibile, ci vengono offerti della faccette, in quanto esse sono realizzate in ceramica in spessore di pochi decimi di mm (0,5 circa), per cui la preparazione, decurtazione dentale è minima. Le corone totali invece sono restauri protesici fissi che ripristinano l’estetica e la funzione di elementi compromessi in maniera significativa. Lo spessore è sempre molto contenuto ma la preparazione del dente è ovviamente maggiore.
ESTETICA DEI TESSUTI PERIORALI
I filler sono sostanze a base di acido ialuronico, polisaccaride naturale, presente in tutti i tessuti umani con completa assenza di antigenicità ed immunogenicità. I filler hanno aspetto liquido, gelatinoso o compatto e vengono iniettate nella pelle per correggere gli inestetismi del viso eliminando rughe e solchi della cute, Servono inoltre a modificare i volumi del viso (ipoplasia) ed in particolare aumentare il volume di zigomi, mento e labbra. Oggi i più utilizzati sono i fillers riassorbibili che hanno durata limitata (media 3-4 mesi). Esistono però numerose variabili di permanenza del filler nel derma, a seconda della densità del prodotto e poi perché il riassorbimento del filler stesso e diverso da soggetto a soggetto. Inoltre è influenzato dallo stile di vita del soggetto ( più o meno disordinato, abitudine al fumo, l’assunzione abituale di alcolici o di superalcolici, l’ esposizione al sole o alle lampade abbronzanti).
Praticamente abbandonati sono invece quelli permanenti. Le iniezioni di filler avvengono a mezzo di un ago molto sottile e non necessitano di alcun tipo di anestesia. Il traumatismo di un filler si traduce nella presenza di piccoli segni evidenti (piccoli ematomi riassorbibili in 3-4 giorni) a seguito dell’impianto stesso. I risultati e la ripresa di tutte le attività sono immediati.
INFO E APPROFONDIMENTI
CHE COSA È DAVVERO L’ESTETICA DENTALE?
L’estetica dentale è quella branca dell’odontoiatria che si occupa di ripristinare o migliorare l’aspetto estetico del sorriso, compensando inestetismi e problemi del cavo orale come denti mancanti, diastemi (denti spaziati), malocclusioni, accavallamenti dentari, accumuli di tartaro, difetti di forma, ecc.
Va ben oltre l’aspetto puramente estetico: può migliorare l’armonia del sorriso, ad esempio, aumentando notevolmente la fiducia in sé stessi e l’autostima. Di conseguenza, si migliorano le relazioni sociali e professionali, poiché un bel sorriso è una delle prime cose che si notano in una persona. L’odontoiatria estetica, quando eseguita da professionisti qualificati, si concentra sulla funzionalità oltre che sulla bellezza. Infine, trattamenti come gli impianti dentali possono prevenire l’invecchiamento del volto, mantenendo la bocca sana e il profilo armonioso.
DAL 1987 CREDIAMO NELLA MULTIDISCIPLINARITÀ
Chi si rivolge al nostro Studio, non è un semplice paziente. E’ una Persona della quale ci ”prendiamo cura”, a cui offriamo, costantemente, aiuto e supporto nel risolvere dubbi e problemi.
Le nostre conoscenze e le nostre capacità manuali sono supportate da tecnologie innovative volte ad assicurare costantemente la terapia più corretta.
Il personale di Studio è attento e competente ed è a disposizione della Persona, creando un clima rassicurante e attento.
Tutto lo staff medico, costantemente aggiornato, specializzato e formato offre un servizio di assistenza capace di affrontare ogni problematica, in modo sereno e sicuro.
SEMPRE CON LA MASSIMA ATTENZIONE AL COMFORT PSICOLOGICO DEL PAZIENTE
Chi si rivolge al nostro Studio, non è un semplice paziente. E’ una Persona della quale ci ”prendiamo cura”, a cui offriamo, costantemente, aiuto e supporto nel risolvere dubbi e problemi.
Le nostre conoscenze e le nostre capacità manuali sono supportate da tecnologie innovative volte ad assicurare costantemente la terapia più corretta.
Il personale di Studio è attento e competente ed è a disposizione della Persona, creando un clima rassicurante e attento.
Tutto lo staff medico, costantemente aggiornato, specializzato e formato offre un servizio di assistenza capace di affrontare ogni problematica, in modo sereno e sicuro.
SEDAZIONE COSCIENTE
La sedazione cosciente dal dentista è una tecnica che permette di ridurre l’ansia e il dolore durante le cure odontoiatriche, mantenendo il paziente vigile e cosciente. Viene somministrata tramite l’inalazione di una miscela di protossido d’azoto e ossigeno attraverso una mascherina nasale. Questa pratica aiuta chi soffre di paura o ansia a sottoporsi a trattamenti che altrimenti eviterebbe, migliorando anche il comfort durante le sedute.
Esistono tre livelli di sedazione. In quella cosciente viene somministrata oltre ai farmaci una composizione di protossido di azoto e ossigeno. Il paziente rimane perfettamente cosciente e vigile. Un secondo livello di sedazione è quella moderata che prevede l’impiego di un solo farmaco, come ad esempio la benzodiazepina, che riduce moderatamente il livello di vigilanza del paziente. Infine, abbiamo la sedazione profonda in cui il paziente non è più vigile e non è dunque in grado di rispondere agli stimoli verbali.
SCANNER INTRAORALE PRIMESCAN
Da marzo 2022 lo Studio Previgliano è dotato del nuovissimo scanner intraorale Primescan di Dentsplay Sirona. Questo dispositivo di ultima generazione consente al paziente di migliorare la sua esperienza durante la rilevazione delle impronte riducendo nettamente il disconfort psicologico, in quanto si utilizza una piccola penna che azzera i fastidi del classico materiale.
SEMPLICE Con il nuovo scanner sarà più semplice acquisire le impronte, sia su denti naturali che su impianti, senza ricorrere all’utilizzo di materiali d’impronta tradizionali
PRECISO L’impronta digitale è più precisa ed accurata che mai: con Primescan si ottengono i migliori risultati garantendo la massima precisione.
VELOCE In pochissimi minuti verrà rilevata l’impronta con la massima efficienza e con un solo click sarà inviata in totale sicurezza al laboratorio odontotecnico.
CHIRURGIA GUIDATA
La chirurgia guidata in odontoiatria è una tecnica che utilizza la pianificazione digitale e una mascherina chirurgica personalizzata chiamata dima per posizionare gli impianti dentali con maggiore precisione. Questo metodo riduce i rischi, il disagio e i tempi di recupero, offrendo un intervento meno invasivo e più prevedibile rispetto alla chirurgia tradizionale.
Durante la prima visita informate la segreteria della convenzione/assicurazione al fondo sanitario integrativo al quale appartenete. Tutte le pratiche burocratiche, inerenti alle cure odontoiatriche, verranno effettuate nel nostro studio.
Cure odontoiatriche e prevenzione dentale per tutta la famiglia
BAMBINI
ADULTI
COSA SAPPIAMO, COSA NON SAPPIAMO, COSA CREDIAMO DI SAPERE.
Le domande più comuni sull’odontoiatria. Se non doveste trovare la risposta alla vostra domanda, contattateci. Saremo lieti di aiutarvi.
COSA SONO GLI IMPIANTI?
Sono manufatti protesici in titanio che vanno a sostiuire le radici dei denti mancanti. Gli impianti, assimilabili a radici sintetiche, vengono normalmente inseriti nell’osso in anestesia locale. Per gli interventi più lunghi e complessi, è possibile ricorrere alla sedazione cosciente che consente un intervento più sereno senza la possibili complicanze derivate dall’ansia del paziente
CHE COSA È LO SBIANCAMENTO DENTALE?
È un trattamento chimico di decolorazione dei denti naturali che ha come obiettivo quello di ottenere una colorazione più chiara e luminosa degli stessi. Si realizza andando a rimuovere le sostanze pigmentanti esogene ed endogene che macchiano i denti e questo avviene per mezzo di gel a base di perossido di carbamide o perossido di idrogeno, professionale e/o domiciliare, eventualmente attivato con mezzi fisici (luce UV, luce alogena al plasma o luce laser). Questo trattamento è esclusivamente cosmetico e non terapeutico; inoltre non indebolisce la struttura dentale e non è assolutamente invasivo.
QUANDO EROMPONO I DENTI DA LATTE?
Incisivi centrali superiori: 6-12 mesi
Incisivi laterali superiori: 8-12 mesi
Incisivi centrali inferiori: 6-10 mesi
Incisivi laterali inferiori: 10-16 mesi
Canini superiori: 16-22 mesi
Canini inferiori: 17-23 mesi
Primi molari superiori: 13-19 mesi
Secondi molari superiori: 25-33 mesi
Primi molari inferiori: 14-18 mesi
Secondi molari inferiori: 23-31 mesi
E i denti permanenti?
Incisivi centrali superiori: 7-8 anni
Incisivi laterali superiori: 8-9 anni
Incisivi centrali inferiori: 6-7 anni
Incisivi laterali inferiori: 7-8 anni
Canini superiori: 11-12 anni
Canini inferiori: 9-10 anni
Primi premolari superiori: 10-11 anni
Secondi premolari superiori: 10-12 anni
Primi premolari inferiori: 10-12 anni
Secondi premolari inferiori: 11-12 anni
Primi molari superiori: 6-7 anni
Secondi molari superiori: 12-13 anni
Terzi molari superiori: 17-21 anni
Primi molari inferiori: 6-7 anni
Secondi molari inferiori: 11-13 anni
Terzi molari inferiori: 17-21 anni
COSA SONO LE SIGILLATURE?
La sigillatura dei solchi è una terapia preventiva di fondamentale importanza rivolta prevalentemente ai bambini, ma attuabile a qualsiasi età; consiste nell’otturazione dei solchi dei denti al fine di ridurre il rischio d’insorgenza di carie. Questo perché spesso i solchi sono di difficile detersione e per tale motivo sono una delle zone del dente che più facilmente va incontro a patologia cariosa.
QUANDO PORTARE UN BAMBINO PER LA PRIMA VISITA?
Non è mai troppo presto. Spesso non si sa che i denti da latte possono andare incontro alle stesse patologie tipiche dei denti permanenti ed i genitori non pensano che i denti decidui debbano essere curati perché intanto cadono e vengono sostituiti. Dai 4 – 5 anni di età un appuntamento dal dentista è sicuramente consigliato, per intercettare eventuali problematiche in anticipo, in modo da intervenire in maniera mininvasiva e se possibile esclusivamente preventiva.
Come raccomandazione ricordiamo che sarebbe opportuno portare il bambino per la prima volta dal dentista indipendentemente dal fatto che vi siano o meno problemi specifici. Anzi l’ideale sarebbe portare il bambino quando non vi sia alcun dolore né fastidio così che possa vivere il primo incontro con il dentista in tutta serenità, in modo da non rimanerne spaventato per gli incontri futuri.
ESISTONO CORONE SENZA IL METALLO?
Si, sono le corone in ceramica integrale. Queste servono a ripristinare la struttura dentale persa e a migliorare la resistenza, la robustezza e l’estetica dei denti danneggiati. Le corone in ceramica, discostandosi delle corone prodotte in passato, sono manufatti protesici che entrano a pieno diritto fra i trattamenti di estetica dentale più efficaci. Infatti, le capsule di un tempo avevano uno scheletro metallico rivestito in ceramica, che diventava visibile, dopo qualche anno dall’applicazione, in caso di recessione gengivale. Le corone di oggi, di nuova generazione, non hanno invece bisogno di una struttura in metallo per mantenersi salde e per offrire resistenza, perché i materiali utilizzati oggi sono molto più resistenti e rigidi. Quindi, anche se la gengiva dovesse ritirarsi, non si vedrebbe il tipico alone nero delle capsule di una volta, ma il bianco dei denti naturali.
QUANDO SI DEVE FARE ORTODONZIA?
L’ortodonzia è la branca dell’odontoiatria che comprende la diagnosi e il trattamento delle anomalie della posizione dei denti e delle ossa mascellari. Non si tratta solo di correzioni estetiche bensì di mantenere o rendere la dentatura pienamente funzionale, ossia di intervenire per adeguare in modo ottimale l’allineamento dei denti.
L’ortodonzia si pone come obiettivo la funzionalità ottimale di denti e della ossa mascellari e quindi la funzionalità ottimale della masticazione. Questa è garantita quando tutti i denti sono dritti e allineati in posizione corretta, quando combaciano perfettamente e quando la rotondità dell’arcata dentale corrisponde.
Normalmente quanto prima viene individuata una malocclusione tanto meglio si riesce a definire l’inizio di un trattamento ottimale e si può essere certi di non perdere tempo. Per questo consigliamo ai genitori di portare a un controllo i loro bambini a partire dai cinque anni.
A questa età possono già essere individuate le principali malocclusioni, quali il morso incrociato, il morso inverso, il morso aperto o anche un affollamento dentale.
Nella prima visita l’ortodontista può quindi verificare se c’è una malocclusione e quando è il momento migliore per un trattamento, che dipende a sua volta sia dall’età e dallo sviluppo fisico che dalla tipologia e dalle dimensioni della malocclusione nonché dalla velocità della seconda dentizione.
Come regola di massima si può dire che i trattamenti ortodontici dovrebbero essere eseguiti durante lo scatto della crescita nel periodo della pubertà. Nel giro di due anni i giovani crescono dai 10 ai 15 centimetri e la struttura corporea si avvicina a quella che li accompagnerà anche nell’età adulta. Per le ragazze è solitamente il periodo fra gli 11 e i 13 anni, per i ragazzi quello fra i 13 e i 15 anni. Ma questi sono ovviamente solo valori indicativi generali e quindi variabili.
Tuttavia alcune malocclusioni andrebbero affrontate già precocemente, come un morso crociato o un’estrema mancanza di spazio. In questi casi, per rendere armoniosa la crescita dell’ossatura mascellare e consentire un’eruzione dei restanti denti, si deve intervenire gia in giuovane età, 5-6 anni.
COSA È L'INVISALIGN?
L’invisalign è un tipo di trattamento ortodontico avanzato che si avvale di mascherine (allineatori) trasparenti. In tal modo è possibile correggere le malposizioni dentali in maniera quasi invisibile migliorando il confort del paziente che potrà sorridere senza vedere le classiche placchette metalliche adese ai denti. Queste mascherine sono rimovibili e detergibili direttamente dal paziente, devono essere sostituite più volte durante il trattamento, quest’ultima manovra deve essere fatta dall’ortodonzizta in studio circa ogni 2 settimane.
L'AMALGAMA FA MALE?
Nonostante vi sia stata negli anni una forte campagna contro le otturazioni in amalgama, in realtà le evidenze scientifiche che dimostrano che questo materiale da restauro sia nocivo sono quanto meno dubbie se non addirittura inesistenti. La pericolosità delle otturazioni in amalgama deriverebbe non dalla presenza del piombo come spesso si crede, in quanto queste otturazioni non contengono piombo, ma dalla presenza del mercurio. Questo però , come confermato dalla organizzazione mondiale della sanita (OMS) è biodisponibile, cioè pericoloso, solo nel momento in cui l’otturazione viene fatta o rimossa. Per il paziente i rischi sono assolutamente minimi perché oggi le otturazioni in amalgama si rimuovono tutte sotto diga e con aspirazione continua ad alta potenza.
Oggi tuttavia le otturazioni in amalgama sono sempre meno frequenti, sia per il sospetto dei pazienti che sia nocive, sia perché poco estetiche, ma il consiglio è quello di rimuoverle solo nel caso in cui siano vecchie, rovinate, incongrue e infiltrate. Se invece risultano congrue e stabilili si può tranquillamente mantenerle in sede, tanto i rischi reali nel tenere una otturazione in buono stato sono nulli.
QUANDO FARE LA DETARTRASI E QUESTA ROVINA I DENTI?
La detartrasi, meglio conosciuta come ablazione del tartaro o pulizia dei denti, si rende utile circa ogni 6 mesi. Si tratta di un trattamento molto indicato in tutte le persone. Infatti, il deposito di placca e di tartaro può essere differente in base al singolo soggetto. Non solo, dipende tanto anche dal quantitativo di saliva e dal livello qualitativo dell’igiene di tutti giorni. Ci sono tante persone che seguono ogni tipo di standard di pulizia de denti, ma hanno comunque la necessità di sottoporsi alla detartrasi più frequentemente. Di solito si tratta di circa 3-4 mesi e questi sono i pazienti con problemi parodontali. In altre occasioni, invece, ci sono persone che hanno la necessità di effettuare l’ablazione del tartaro una volta ogni anno.
IL FUMO FA MALE AI DENTI E ALLE GENGIVE?
Il fumo fa male a tutto. Pigmenta e macchia le superfici dentali e danneggia il parodonto (gengiva, legamento parodontale e osso). Il fumo è un fattore di rischio del danno parodontale. I soggetti fumatori hanno infatti un rischio 4 volte maggiore di sviluppare parodontite cronica rispetto ai non fumatori. Risulta importante non solo il fatto di fumare o meno, ma anche il numero di sigarette fumate, ovviamente all’aumentare delle sigarette fumate aumenta il rischio di danno e in caso di danno già presente aumenta e aggrava il danno stesso. Se si smette di fumare si assiste ad un progressivo rallentamento del danno e della progressione della malattia parodontale. Risulta quindi di fondamentale importanza smettere di fumare o quantomeno ridurre al minimo il consumo di tabacco e in particolare il fumo di sigaretta (più nocivo e lesivo di quello del sigaro e della pipa), in questo modo si potrà assistere ad un miglioramento del parodonto, un migliore controllo dell’alitosi ed un miglioramento dell’estetica.
IL DIABETE PEGGIORA E FAVORISCE I PROBLEMI GENGIVALI?
Il diabete è fattore di rischio per la malattia parodontale. Risulta però fondamentale non solo parlare di diabete, ma considerare il controllo glicemico, vale a dire vedere se il diabete è mantenuto sotto controllo o meno. Infatti la presenza e la gravità del danno parodontale sarebbero correlati con il controllo glicemico valutabile considerando l’emoglobina glicata. Se il soggetto diabetico controlla la patologia in maniera rigorosa e attenta con un’adeguata terapia (insulina, ipoglicemizzanti orali o dieta) ha un rischio praticamente simile rispetto ai soggetti non diabetici.
Valori di emoglobina glicata:
4-6% valori fisiologici di un soggetto non diabetico
Valori inferiori a 7% buon controllo dellla malattia
7-8% controllo moderato del diabete
Valori maggiori di 8% controllo scarso del diabete ed è necessario riferire il paziente al diabetologo per migliorare tale compenso metabolico.
Ricordiamo inoltre che c’è una relazione a doppia via tra il diabete e la patologia parodontale, vale a dire che una influenza l’altra e viceversa, quindi all’aggravarsi dell’una si assiste ad un peggioramento anche dell’altra. A tal proposito si ribadisce il concetto dell’importanza di mantenere sotto controllo il diabete e al tempo stesso mantenere ottime condizioni igieniche il cavo orale in modo da mantenere in salute i tessuti parodontali e orali.
PASSIONE
Fare il proprio mestiere con passione, tutti i giorni come fosse il primo giorno.
COMPETENZA
Ci aggiorniamo continuamente perchè la nostra professione si evolve senza sosta.
EMPATIA
Capire le paure e i timori di chi ci mostra fiducia, scegliendoci da tanti anni.
Crediamo nell’aggiornamento costante, tutti i giorni, da sempre. La tecnologia nel settore odontoiatrico può realmente fare la differenza nel comfort del paziente.
IL NOSTRO ORGOGLIO PROFESSIONALE
I numeri
Lavorare con passione, trasparenza ed attenzione verso tutti i nostri pazienti ci permette di mantenere un alto tasso di fedeltà. Spesso trattiamo con reciproca soddisfazione tre generazioni della stessa famiglia, nonni, figli e nipotini. Tutti con esigenze diverse, tutti attentamente seguiti con le modalità più adatte.
%
PERCENTUALI DI PAZIENTI CONTINUATIVI DA PIÙ DI 10 ANNI
CONTATTACI
+39 0114593094
+39 3315414597
anche WhatsApp
segreteria@studioprevigliano.org
Via Zanellato, 7 - 10078 VENARIA REALE
ORARI
| Lunedì | 09 – 13 | 14 – 19 |
| Martedì | 09 – 13 | 14 – 19 |
| Mercoledì | 09 – 13 | 14 – 19 |
| Giovedì | 09 – 13 | 14 – 19 |
| Venerdì | 09 – 13 |
COPYRIGHT© 2025
STUDIO DENTISTICO PREVIGLIANO
P.IVA 05574360011
Via V. Zanellato, 7
10078 VENARIA REALE – TORINO
+39 0114593094
ALBO MEDICI CHIRURGHI 14097
ALBO MEDICI ODONTOIATRI 2636
:::: PRIVACY E COOKIES POLICY ::::

